כתף קפואה

זהו תהליך המתרחש בגידי השרירים המקיפים את הכתף ומתאפיין בכאבים עזים ובהגבלת תנועה, המלווים כל ניסיון להפעלת הכתף.

טיפול בבעיית כתף קפואה

כתף קפואה – המודל הטיפולי המיוחד במרפאת ד"ר טובי

הטיפול בבעיית כתף קפואה משלב מספר טיפולים בהתאם לצורך הרפואי:

כפתרון לבעיות ההסתיידות אנחנו מציעים טיפול באורתוספק (מתוצרת חברת מדיספק). הטיפול בבעיית כתף קפואה מתבצע באמצעות שליחת גלי הלם אקוסטיים לאזור הבעייתי, שמרעידים את מקום ההסתיידות ומפוררים אותה, עד שהיא מתמוססת ונספגת בגוף. עקב כך, מוגברת זרימת הדם לאזור והדלקת והכאבים נעלמים.

אם להסתיידות מתלווים כאבי שרירים, אפשר לשלב גם טיפול ברדיאלספק (מתוצרת מדיספק), הנמשך 6-5 דקות, פעמיים בשבוע, במשך שלושה-ארבעה שבועות.

ניתן במידת הצורך לשלב הזרקת תכשירים הומיאופתיים ואוזון לאזור הדלקתי.

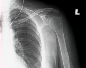
כתף קפואה – צילומי הסתיידות בכתף – לפני ואחרי טיפול בגלי הלם

נ.מ לפני טיפול בגלי הלם:

כתף קפואה               טיפול בכתף קפואה

נ.מ אחרי טיפול בגלי הלם:

כתף קפואה - גלי הלם                כאב בכתף

מחקרים תומכים ומאמרים

מאמר בנושא גלי הלם – טיפול יעיל להסתיידויות גידים בכתף, דורבן העקב, מרפק טניס ומרפק גולף – מאת האורתופד איתן טובי (מגזין Cosmetique, אוקטובר 2008)

השאירו פרטים ונחזור אליכם בהקדם!


שם מלא

דואר אלקרוני

טלפון

wordpress themes